Why All-Ceramic Restorations Are Worth the Investment

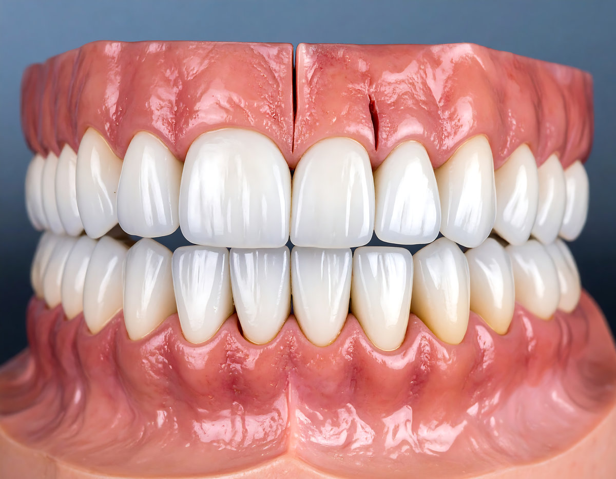
All-ceramic restorations offer a durable, natural-looking solution for repairing damaged or decayed teeth without metal. These dental restorations are crafted entirely from high-quality ceramic materials, providing both strength and beauty while blending seamlessly with your smile. Whether you need a crown, bridge, inlay, or onlay, all-ceramic restorations represent a modern approach to dental care that prioritizes aesthetics without compromising function.

At Brilliant Dental Care in Houston, Dr. Kevin Freeman and his team combine advanced technology, such as CEREC, with personalized care to deliver ceramic restorations that look and feel like your natural teeth. With years of experience serving the Houston community and a commitment to staying on the cutting edge of dentistry, our practice provides the expertise you need for lasting results.

What Makes All-Ceramic Restorations Different From Traditional Dental Work?

All-ceramic restorations are made entirely from dental ceramics, such as porcelain, zirconia, or lithium disilicate. Unlike metal-based restorations that contain gold alloys or base metals, ceramic options contain no metal whatsoever.

This metal-free design offers several advantages. The material transmits light similarly to natural tooth enamel, creating a translucent quality that makes restorations virtually indistinguishable from your real teeth. Traditional metal restorations often create dark lines at the gumline or show through as shadows, but ceramic materials eliminate these cosmetic concerns.

All-ceramic restorations work well for patients who want both function and aesthetics. If you have visible teeth that need repair, ceramic options offer the best cosmetic results. They’re particularly valuable for the front teeth and other areas that show when you smile.

Patients with metal allergies or sensitivities also benefit from the metal-free composition. Those who prioritize natural-looking results often prefer ceramic restorations over alternatives, especially when crowns are needed for severely damaged or decayed teeth.

How Are All-Ceramic Restorations Made?

Creating an all-ceramic restoration begins with a thorough examination of your tooth. Dr. Freeman uses digital CBCT scans and digital X-rays to assess the extent of damage and plan your treatment. Many all-ceramic restorations at Brilliant Dental Care are created using CEREC technology, which allows us to design, mill, and place same-day restorations in a single appointment.

The tooth is prepared, a digital scan is taken, and the restoration is crafted right in our office using our Sprintray 3D printer and milling equipment. The ceramic material is color-matched to your existing teeth for seamless integration. For more complex cases, impressions may be sent to a lab where technicians handcraft your restoration.

What Types of All-Ceramic Restorations Are Available?

All-ceramic restorations come in several forms depending on your needs. Before choosing the type that best suits you, consider the extent of the damage and the location of the affected tooth.  

  • Ceramic Crowns: Ceramic crowns cover the entire visible portion of a damaged tooth, restoring both its shape and strength.
  • Ceramic Bridges: Ceramic bridges replace one or more missing teeth by anchoring to the surrounding natural teeth.
  • Inlays and Onlays: These options offer a conservative alternative to full crowns when damage is more moderate.

Each type serves a specific purpose while providing the natural appearance and durability you want from your restoration.

How Do Ceramic Restorations Benefit Your Long-Term Oral Health?

The biocompatibility of ceramic materials makes them gentler on your gums and surrounding tissues. Your body tolerates these materials exceptionally well, which reduces inflammation and promotes healthier gum tissue over time.

Temperature sensitivity becomes less of an issue with all-ceramic restorations. Metal conducts heat and cold rapidly, which can cause discomfort when eating or drinking. Ceramic insulates your tooth structure, providing a more comfortable experience with hot coffee or ice cream.

Strength and Durability

Today’s options offer impressive strength that rivals that of traditional metal restorations. When properly cared for, ceramic crowns and other restorations can last 10 to 15 years or longer. The material resists wear and maintains its appearance throughout its lifespan, so your restoration looks as natural on day one as it does years later.

Stain Resistance

Ceramic surfaces repel stains more effectively than many other dental materials. Coffee, tea, red wine, and other pigmented foods leave minimal marks on ceramic restorations. This resistance to discoloration helps your restoration maintain its bright, natural appearance without requiring special maintenance.

Why Should You Consider Ceramic Over Metal or Composite Materials?

Metal restorations have served dentistry well for decades, but they come with notable drawbacks. The gray or silver color stands out against white teeth, making them obvious when you smile or speak. Some patients also develop metal sensitivities or allergies over time, creating discomfort or irritation around restored teeth.

Composite resin offers a more natural appearance than metal, but the material wears down more quickly than ceramic. Resin also absorbs stains from food and beverages, requiring more frequent replacement to maintain appearance. All-ceramic restorations provide superior aesthetics and longevity compared to both options.

How Does CEREC Technology Improve Your Experience With Ceramic Restorations?

At Brilliant Dental Care, we use CEREC technology to create your ceramic restorations in a single visit. This advanced system eliminates the need for temporary restorations, multiple appointments, and uncomfortable impressions.

The process begins with digital scanning using our advanced imaging equipment. We capture precise measurements of your tooth structure without messy impression materials. The CEREC system then designs your restoration using sophisticated software that ensures an accurate fit.

Our in-office milling unit fabricates your restoration from a high-quality ceramic block while you wait. This same-day approach saves you time and provides immediate results. You leave our office with your permanent restoration in place, eliminating the inconvenience of temporary solutions.

Schedule Your All-Ceramic Restoration Consultation at Brilliant Dental Care

All-ceramic restorations provide a combination of beauty, durability, and biocompatibility that makes them worth considering for your dental needs. The natural appearance, health benefits, and long-term value create a compelling case for choosing ceramic materials over traditional alternatives. With modern CEREC technology, you can receive your restoration in a single convenient appointment without sacrificing quality or aesthetics.

Our team at Brilliant Dental Care uses digital CBCT scans and advanced technology to provide the highest standard of care for every patient. Whether you need a single crown or a more extensive full mouth reconstruction, we create personalized treatment plans that address your specific goals. We accept CareCredit, Cherry, and SunBit financing and offer flexible monthly payment plans and an In-House Smile Advantage Plan. Complete our contact form to schedule your consultation and learn more about how all-ceramic restorations can enhance your smile.

Contact Us

Kevin M. Freeman, DDS

Medically Reviewed by Dr. Kevin M. Freeman, DDS

Dr. Freeman believes that exceptional dentistry combines the best technology with genuine patient care. After graduating from Indiana University School of Dentistry and completing his post-doctoral residency at UTHealth School of Dentistry in Houston, he dedicated his career to helping patients achieve and maintain optimal oral health. His commitment to staying on the cutting edge of dentistry means patients at Brilliant Dental Care receive the highest standard of care in a comfortable, welcoming environment.

This blog content is medically reviewed by Dr. Kevin M. Freeman, DDS and is for educational purposes only. It should not be considered a substitute for professional dental advice, diagnosis, or treatment. Every patient’s dental needs are unique, and treatment outcomes may vary. Schedule a consultation to discuss your specific oral health concerns and determine the most appropriate treatment plan for your individual situation.

Brilliant Dental Care Promo Banner
CALL OR TEXT NOW